EZ EZViwe

반려동물 피부에 생긴 혹, 종양일 수도 있다. 비만세포종이란?

백수연 내과 팀장 기자  2022.04.21 11:34:20

기사프린트

 

반려동물이 나이가 들면 털색이 바래거나 활동량이 크게 줄어드는 등 다양한 노화 증상이 나타난다. 또한 피부에 불룩한 혹이 생기기도 하는데, 이 혹은 피지샘종, 지방종처럼 양성 종양인 경우도 있지만 비만세포종(Mast cell tumor, MCT)과 같이 암인 경우도 있다.

 

비만세포종을 흔히 살이 쪄서 생기는 종양으로 생각하기 쉽지만, 비만과 관련 있는 지방세포와는 다른 세포이다. 비만세포는 현미경으로 관찰했을 때 과립이 뚱뚱하게 보인다고 해서 붙여진 이름으로, 비만세포종은 비만세포가 악성 증식을 한 것을 말한다.

 

비만세포는 히스타민과 헤파린 등을 함유한 과립을 가진 백혈구의 일종으로, 혈관이나 신경을 감싸고 있는 대부분의 조직에 존재한다. 

 

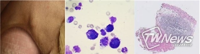
히스타민은 피부신경의 자극, 기관지 평활근 수축, 위산증가 등을 유발하며 알레르기 반응을 일으키는 주된 물질이다. 또 헤파린은 혈액응고를 막는 작용을 하는 항응고 물질이다. 이러한  과립이 방출되면 조직 자극 및 염증 반응을 일으키기도 한다. 말기로 진행되면 위장관 궤양, 아나필락시스성 쇼크, 혈액응고 부전 등을 유발하기도 한다. 종양이 갑자기 자극될 때 과립이 방출될 수 있어 종양을 조작할 때 주의가 필요하다. 비만세포종은 피부, 그중에서도 발가락이나 다리 부분에 많이 발생하며, 내부 장기에 생기기도 한다.

 

 

비만세포종은 조직검사 전에 미세침흡인세포검사(Fine Needle Aspiration. FNA)를 통해 높은 확률로 진단할 수 있다. 조직검사를 통해 병기에 관한 더 정확한 정보를 얻을 수 있으며, 반려동물에게 발생하는 대부분의 비만세포종은 악성종양인 경우가 많다. 작은 뾰루지나 작은 혹처럼 보여서 보호자가 대수롭지 않게 생각하고 지나치기 쉽지만, 생명에 지장을 줄 수도 있는 질병이기 때문에 방치하지 않도록 해야 한다.

 

치료는 비수술적인 치료와 수술적 치료가 있다. 비수술적인 치료는 스텔폰타 주사치료, 표적치료제, 방사선치료 등이 있다. 종양의 위치나 변이 여부, 재발 여부 등에 따라 치료 방법을 결정한다. 수술적 치료는 비만세포종이 남겨지지 않도록 종양의 크기보다 더 넓은 부위를 절제하는 방식으로 진행된다. 병기에 따라 수술 후에도 항암치료가 필요한 경우도 있기 때문에 수의사와 상담 후 치료 방향을 결정해야 한다. 

 

반려동물의 건강에 대한 관심도가 높아지면서 비만세포종을 조기에 발견하고 동물병원에 내원해 검사 및 치료를 하는 일이 많아지고 있다. 조기에 발견하면, 악성종양으로 번졌다고 하더라도 치료 이후 더 나은 예후를 기대할 수 있기에 보호자의 꾸준한 관심이 필요하다.

 

(* 이 칼럼은 24시 사람앤동물메디컬센터 백수연 내과 팀장의 기고입니다.)