EZ EZViwe

“청장년층 관절염 증가” 인공관절 수술 시 부분치환술·절골술 고려해야

임의순 기자 기자  2022.02.19 09:00:06

기사프린트

 

[제주교통복지신문 임의순 기자] 무릎 사이의 연골이 닳아 관절끼리 부딪치며 통증을 유발하는 질환인 ‘무릎 퇴행성관절염’의 발병 시기가 앞당겨지고 있다. 평균 60대 이상 노년층을 대상으로 발병하던 관절염 증상이 최근 청장년층을 대상으로 늘어나면서 더욱더 빠른 인공관절 수술이 적용되는 추세다.

 

실제로 건강보험심사평가원의 통계에 기반하면 무릎 퇴행성관절염 환자 중 30~50대가 36.9%를 차지했다. 65세 미만 청장년층은 퇴행성관절염 시 무릎 연골의 일부만 소실되는 경우가 대부분으로 새로운 인공관절로 치환하는 것에 많은 부담감을 느낄 수 있다.

 

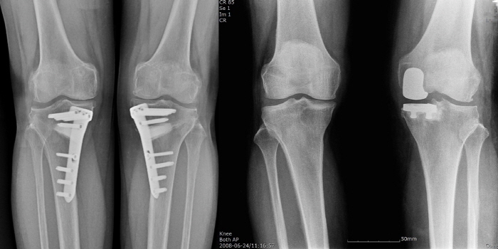
따라서 젊은 퇴행성 관절염 환자들은 전체 치환술 대신 ‘부분 인공관절 치환술’과 ‘근위경골 교정절골술’을 적용하는 것이 좋다. 부분 인공관절 치환술은 말 그대로 관절의 일부만을 인공관절로 교체하는 수술을 말한다. 일부만 교체하기 때문에 손상된 부위가 아닌 건강한 부분은 보존이 가능하다. 수술 시 절개와 출혈이 적고 일상 회복이 빠른 편이며, 수술 이후에도 관절 운동의 각도를 살릴 수 있다. 또한 비교적 활동성이 적고, 통증이 심한 환자, 빠른 수술 회복을 원하는 환자들에게 적용해볼 수 있다.

 

근위경골 교정절골술은 하지의 비정상적인 축을 바로잡아 무릎의 하중을 건강한 관절로 옮기는 치료법이다. 관절의 정렬과 하중의 분포를 개선해 통증을 없앨 수 있다. 부분 인공관절 치환술보다 수술 이후 관절 운동 범위나 활동성이 뛰어나기 때문에 평소 활동적이고 야외 활동을 즐기는 사람들에게 권장한다.

 

고용곤 연세사랑병원 병원장은 “일반적으로 일상생활에 불편함이 동반되는 말기에는 통증을 줄이기 위한 치료가 필요한데 대표적인 것이 ‘인공관절 수술’이다. 인공관절 수술은 인체에 무해한 인공관절을 삽입하는 수술로, 통증을 없애고 운동범위를 확보해 일상생활을 영위할 수 있게 도와준다”고 설명했다.

 

고 병원장은 “다만 관절염은 더는 노년층의 전유물이 아닌 만큼, 자기 관절을 보존하고 싶은 젊은 환자의 경우 절골술과 부분 치환술을 고려해보는 것이 좋다”며 “무릎 통증에 어떤 치료법을 선택해야 할지 고민이라면 환자 본인의 특성이나, 증상 등을 충분히 고려해보는 것이 좋다. 최근에는 절골술에 줄기세포 치료를 결합해 시너지 효과를 유도하는 등 개인에 따라 적절한 수술법이 적용되고 있다”고 말했다.

 

 

제주교통복지신문, TW News