EZ EZViwe

인공관절 부분치환술, 의료진 경험이 관절 보존 좌우

김대훈 기자 기자  2022.01.25 11:52:14

기사프린트

 

[제주교통복지신문 김대훈 기자] 무릎 퇴행성관절염은 무릎 관절이 노화하고 퇴화하며 염증이 생긴 상태로, 계단을 오르내리거나 앉았다 일어서기를 반복하는 등 일상생활 전반에 있어 통증의 영향을 받기 쉽다. 증상 초기에는 약물 등 보존적 치료로 호전을 기대할 수 있지만, 차도가 없다면 인공관절 수술을 고려해야 한다.

 

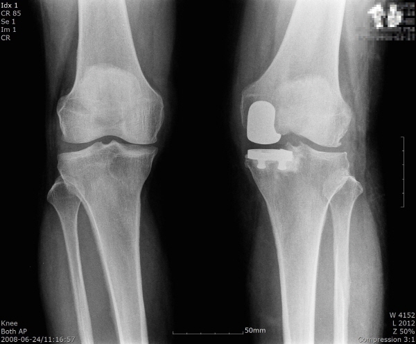
인공관절 수술은 발전을 통해 정확도가 향상된 수술로 자리 잡았지만, 일부 환자들은 연골을 제거하고 인공 구조물로 무릎 관절을 완전히 대체하는 것에 부담을 느끼곤 한다. 따라서 이때는 무릎 관절 전체를 없애는 인공관절 전치환술 대신 손상이 생긴 관절 일부만 인공관절로 교체하는 ‘부분 치환술’을 고려할 수 있다.

 

건강한 관절을 최대한 보존하는 방향으로 이뤄지는 인공관절 부분치환은 관절 운동의 각도를 살리고 절개나 출혈 없이 진행할 수 있는 특징을 가진다. 기능을 최대한 보존하기 때문에 많은 환자에게 적용되고 있으며, 최근에는 ‘3D 시뮬레이션 맞춤형 부분 치환술’을 이용해 반대편 무릎에 가해지는 하중을 줄여 무릎의 부담을 줄이고, 인공관절 수명의 연장을 기대하는 경우도 늘고 있다.

 

고용곤 연세사랑병원 병원장(정형외과 전문의)은 “퇴행성관절염은 무릎 관절뼈와 뼈 사이 충격을 흡수하는 연골이 닳고 손상되면서 통증, 변형을 유발한다. 그 때문에 일상생활에서 앉을 때, 계단을 오르내릴 때 통증으로 고생하는 이가 많다”며 “인공관절 부분 치환술은 자기 관절의 일부를 보존할 수 있다는 점에서 좋은 수술이다. 다만 수술 과정이 어려워 집도하는 의료진의 많은 경험이 요구되는 만큼 경험이 풍부한 의료진을 통해 최대한 자신의 관절을 보존할 수 있어야 한다”고 조언했다.

 

 

제주교통복지신문, TW News