EZ EZViwe

황반변성, 60세 이상 발병률 25%에 달해…안저검사란?

김도형 기자 기자  2021.11.02 12:09:20

기사프린트

 

[제주교통복지신문 김도형 기자] 황반변성은 망막의 황반부에 이상이 생겨 시력장애를 초래하는 질환이다. 망막은 시세포와 다른 신경세포들이 집중된 얇은 신경조직인데 눈을 통해 들어온 빛이 망막을 거쳐 뇌로 전달되면서 우리가 사물을 볼 수 있도록 해준다. 

 

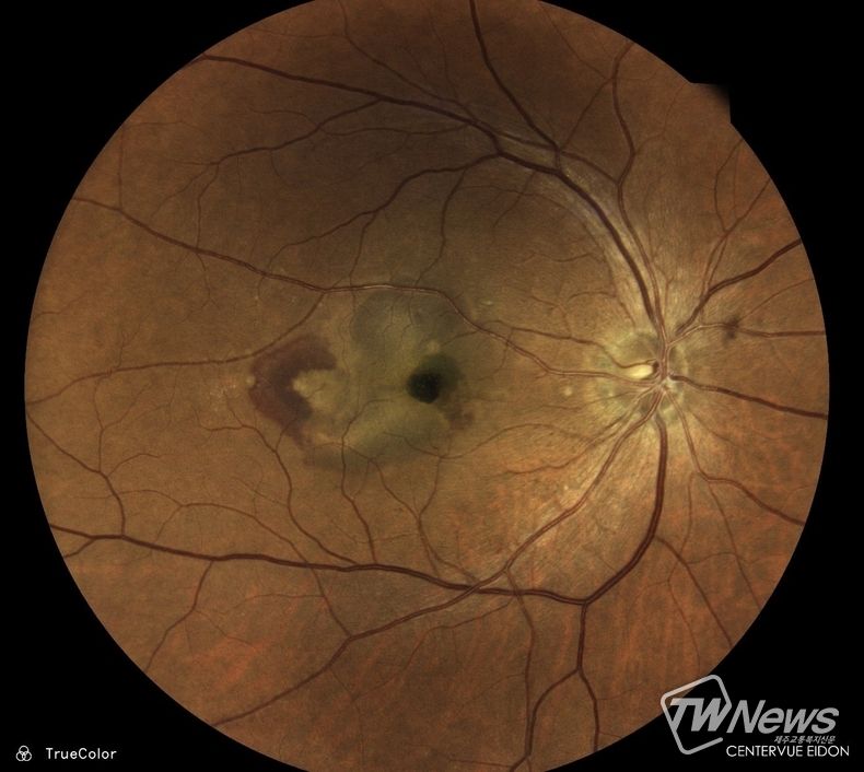
황반은 망막에서도 중심부에 위치한 1.5mm 정도의 아주 작은 부위이다. 시세포가 가장 많이 모여 있으며 시력의 90%를 담당할 정도로 매우 중요한 부분이다. 색을 구분하거나 사물을 뚜렷하게 보이게 하는 역할을 하는 부분으로, 황반변성에 걸려 황반부의 기능이 저하되면 시력이 급격히 저하되어 심하면 실명까지 초래될 수 있다. 

 

 

황반변성은 △흡연 △안내 염증 △고도근시 △유전 등 다양한 이유로 발병할 수 있으나 가장 큰 영향을 미치는 요인은 노화로 알려져 있다. 통계에 따르면 60세 이상 인구 중 황반변성의 발병률은 25%에 달한다. 60세 이상 4명 중 1명이 황반변성을 앓고 있다는 말이다. 또한, 노화가 진행되면 될수록 발병 소지가 높아져 75세 이후 매우 가파른 유병률 증가세를 그린다. 백내장, 녹내장과 함께 3대 노인성 안질환으로 꼽힐 정도다. 

 

황반변성은 신생혈관의 동반 여부에 따라 크게 건성 황반변성과 습성 황반변성으로 구분된다. 비삼출성 황반변성이라고도 불리는 건성 황반변성은 황반에 세포대사로 생긴 일종의 노폐물이 망막 아래에 축적되어 황반부의 시세포가 위축, 시력이 서서히 저하되는 질환이다. 전체 황반변성의 80~90%를 차지하는 건성 황반변성은 다행히 대부분 심각한 시력 저하를 유발하지는 않기 때문에 조기에 발견하여 치료하면 시력을 효과적으로 보존할 수 있다. 하지만 치료 시기를 놓친다면 습성 황반변성으로 진행할 수 있어 주의해야 한다. 

 

습성 황반변성은 안과계의 응급질환으로 꼽힐 정도로 무서운 질환이다. 망막 뒤쪽에는 맥락막이 존재하여 망막에 산소, 영양소 등을 공급하는데 여러 이유로 인해 맥락막에 비정상적인 신생 혈관이 자라나 출혈이 발생하고 삼출물이 누출되고 황반부가 부으면서 황반부의 시세포와 신경세포들이 파괴되어 순식간에 시력이 저하될 수 있다. 이를 습성 황반변성이라 하는데 이르면 몇 개월 안에 실명에 이를 정도로 진행이 빠르고 예후도 좋지 않은 편이다. 

 

따라서 사물의 한 가운데가 검게 비어 보이거나 바둑판 같은 직선형의 사물이 휘어 보인다면 즉시 안과를 찾아 황반변성의 발병 여부를 확인해야 한다. 중심시력의 악화는 황반변성의 대표적인 증상이기 때문이다. 글자를 읽기 어렵거나 사물을 인식하는 데 어려움이 생길 때에도 검사를 통해 원인을 파악해보는 것이 좋다. 

 

눈의 노화가 본격적으로 시작되는 40세 이후부터 꾸준히 안저검사를 시행하여 눈의 건강 상태를 확인하는 것도 황반변성을 조기 발견하는 데 도움이 될 수 있다. 항산화 기능의 루테인, 비타민, 미네랄 등을 영양제로 먹고 선글라스를 이용해 눈을 자외선으로부터 보호하는 것도 눈의 노화와 황반변성의 진행속도를 늦출 방법이다. 

 

도움말 : 조준희 서울퍼시픽안과의원 원장

 

 

제주교통복지신문, TW News